Fogtömés és
restauráció
Fogtömés és
restauráció
- Nyitvatartás: hétfő - péntek, 8:00 - 20:00
-
Nyitvatartás: hétfő - péntek,
8:00 - 20:00
Szolgáltatások - Fogászat
Szolgáltatások - Plasztika
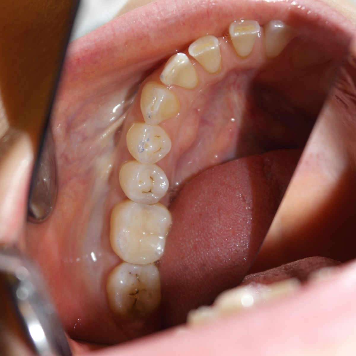
Fogtömés – így őrizzük meg a lyukas fogat még évtizedekig!
A fogszuvasodás – közismert nevén a „lyukas fog” – az egyik leggyakoribb fogászati probléma. A fogromlást okozhatják alkati, életmódbeli, szájhigiénés tényezők is. A szuvas fogra a leggyakrabban alkalmazott gyógyír a fogtömés, amellyel még hosszú évtizedekre megtarthatjuk kitűnően funkcionáló, erős fogunkat.
Mi is az a fogtömés?
A fogászatban tömés alatt azt a műveletet értjük, mely során különböző anyagok fogba helyezésével helyreállítjuk a sérült fog egységét. A fog tömése fúrással kezdődik, amikor is a fogorvos feltárja a szuvas részeket, és megtisztítja az érintett részeket. Az így keletkezett lyukat tölti ki a fogtömő anyaggal.
Töméskor tehát a szuvas részt mindenképpen el kell távolítani, ezután tömhető be a lyuk, amelyre többféle anyag is használható:
Esztétikus, kompozit tömések
Az esztétikai fogászat a töméseket minden esetben fémmentes, általában fényre kötő tömőanyagból készíti, amely segítségével a fogakkal megegyező színű, természethű hatás és tartós eredmény érhető el.
Az esztétikus tömések készítése során ún. kompozit (kerámia szemcsékkel töltött műanyag) tömőanyagokat használunk, melyek legfőbb előnye a kiváló esztétikai hatás. Ezenkívül kevesebb foganyag feláldozását teszik szükségessé az előkészítés során, bizonyos esetekben pedig fúrás nélkül is lehetséges a sérült fogfelszínek javítása, vagy a fogak formai korrekciója.
Ugyanezen anyagok egyszerű, gyors és esztétikus megoldást adnak még a metsző, vagy frontfogak hiányzó darabkáinak pótlására. Ilyenkor a fogorvos a fogat fényre kötő tömőanyaggal építi fel – a megoldás láthatatlan, az eredmény tökéletesen természetes.
BÍZZA MAGÁT 15 ÉVES SZAKMAI TAPASZTALATUNKRA!
Mi fog történni Önnel?
- A fogüreget megtöltjük a választott színű töltőanyaggal.
- Ezután kialakítjuk a fog csúcsait és barázdáit.
- A stabil kötések kialakítása érdekében a rétegeket polimerizációs lámpával világítjuk meg, így a polimer fogtömés tökéletesen beépül a fogüregbe.
- Ezután a fogtömés felszínét lepolírozzuk, hogy a természetes foggal megegyező felszínt kapjunk.
Arany- és porcelántömés
Létezik tömés porcelánból és aranyból is. Mindkettő viszonylag drága, de az aranyat nagyon jól tolerálja az ínyszövet, és jól tűri a terhelést is, így az akár 20 évig is a fogban maradhat. Nagy előnyük, hogy sem a porcelán, sem az arany nem színeződik el.
Az inlay és onlay betét
Az inlay vagy onlay betétek egyfajta „ragasztott tömések”, melyek fogtechnikai laborokban készülnek, s végül szilárd állapotban, beragasztással kerülnek a fogüregbe. Nagy előnyük, hogy segítségükkel a megmaradt fogszövet megmenthető.
MIT NEVEZÜNK INLAY ÉS ONLAY BETÉTNEK?
Előfordul, hogy ha a foganyag nagyobb része szuvas, már nem lehet töméssel helyreállítani a fog szerkezetét, ilyenkor fogtechnikai laborban készített betéteket alkalmazunk.
Az inlay vagy onlay betétek egyfajta „ragasztott tömések”, melyeket fogtechnikus készít el egy lenyomat (minta) alapján, amit a fogorvos vesz le, miután kialakította a betét helyét a fogban. A laborból a rendelőbe már szilárd állapotba érkezik a kialakított betét, amit a kezelőorvos beragaszt a fogüregbe. Ez az eljárás már fogpótlásnak tekinthető.
Az inlay vagy onlay betétek egyfajta „ragasztott tömések”, melyeket fogtechnikus készít el egy lenyomat (minta) alapján, amit a fogorvos vesz le, miután kialakította a betét helyét a fogban. A laborból a rendelőbe már szilárd állapotba érkezik a kialakított betét, amit a kezelőorvos beragaszt a fogüregbe. Ez az eljárás már fogpótlásnak tekinthető.
ELŐNYE:
- A megmaradt fogszövet megmenthető, megtartható
- Pontos, jobban illeszkedik, mert lenyomat alapján készül
- Tartós
Többféle anyagból készülhetnek:
Arany inlay:
A legtartósabb fogpótlás, valamint szövetbarát is. Ideális szélzár készítésére, mely meggátolja, hogy másodlagos fogszuvasodás alakuljon ki. Élettartamuk kiemelkedő, általában 25-30 év közé tehető.
Porcelán inlay:
A porcelán anyag nagyon ellenálló a különböző erőhatásokkal szemben. Az elkészült porcelán inlay színe és formája a természetes fogak színével megegyezik, ezáltal esztétikus.
Kompozit inlay:
Kisméretű kerámia szemcsék segítségével erősített kompozitból áll, melyek a természetes fogak színével megegyeznek és jó a kopásállóságuk. Legtöbbször fogszuvasodás miatt károsodott fogaknál vagy amalgám tömés eltávolítását követően használjuk. Élettartama általában 10 év.

Direkt restauráció – a direkt- és a préskerámia foghéj
A héjak tehát a fogak felszínét részben, vagy egészében befedő fogpótlás típusok. Ez az egyik legesztétikusabb fogpótlás, mert teljesen fémmentes és tartós, illetve az elszíneződött fogak esetében sikerrel alkalmazható.
Direkt héj
A direkt restauráció a legkorszerűbb módszer a sérült, szuvas, elszíneződött, esetleg zománchibákkal rendelkező fogak helyreállítására, elsősorban a frontfogak esetében használatos.
A DIREKT HÉJAK ELŐNYEI:
- A fogállományból minimális mennyiséget kell eltávolítani.
- Direkt héjas fogrestauráció esetén akár több is elkészíthető egy ülésben.
- A direkt héjak sokkal szívósabbak, illetve könnyedén javíthatók, és az áruk is alacsonyabb.
A direkt héj a legkevesebb zománc anyag veszteséggel járó, vékony kerámia héj, amit főleg frontfogaknál alkalmaznak.
A kezelés segítségével a lehető legjobb mechanikai és esztétikai hatás érhető el, s csak a beteg szövetek eltávolítására van szükség, az eredmény pedig tartós és esztétikus lesz. A beavatkozás során nagy hangsúlyt kap a természetes fogformák és szín kialakítása, így a kezelt fogak szabad szemmel megkülönböztethetetlenek lesznek a saját fogaktól.

Porcelán héj
A foghéjak egyedileg porcelánból készített vékony rétegek, amelyeket a fogorvos a fogakra ragaszt annak esztétikusabb formába hozásához.
Amit tudnia kell a porcelán héjról:
Mikor ajánljuk a héj használatát?
Frontfogak esztétikai és funkcionális javítására, mivel az elülső fogak a rágásban és a társas kapcsolatokban is nagy szerepet játszanak. Kérésre a frontfogazat alakja és színe is változtatható.
Mikor nem ajánljuk a héj használatát?
Nagymértékű harapási diszfunkció, erős éjszakai fogcsikorgás, rossz szájhigiénia illetve nagymértékben károsodott elülső fogak esetén.
Előtte – utána képek:
Foglaljon időpontot
Üzenet küldés
Írja meg miben segíthetünk és szívesen visszahívjuk!
Pácienseink visszajelzései
„Nagyon kedves a recepciós és a doktornő is. Figyelmesek. Igaz hogy csak fogkőeltávolitáson voltam, de ezt is tökéletesen végezték.”
Robert2023-08-08
„Tökéletes és figyelmes munka, készséges és mindig elérhető
ügyfélszolgálattal társítva. Köszönöm segítségüket!”
Géza2023-06-20
„Nagyon kedves, segítőkész és türelmes szolgáltatás! Bátran ajánlom
mindenkinek, főleg akik félnek a fogászattól, mint jómagam!”
Krisztián2023-04-18
„Profi fogászati rendelő, mindig elérhetők telefonon, minden problémámmal fogadnak van, hogy előzetes egyeztetés nélkül is. Nagyon segítőkészek és a fogorvosok is nagyon tapasztaltak a szakmában. Örömmel járok ide, és mindenkinek szívesen ajánlom :)”
Tamara2022-11-22
„Nagyon precíz és iszonyatosan kedves orvosok és asszisztensek,
mindent elmagyaráznak részletesen, csak ajánlani tudom mindenkinek!”
Sophie2022-08-21
„Sina Doktornőnél már többször jártam mindig nagyon kedves és precíz volt. Mindenkinek csak ajánlani tudom. Kiváló csapat nagyon köszönök nekik mindent!!”
Áron2022-07-22
„Kedves személyzet és profi orvosok dolgoznak itt. Barátságosak az árak, igényes, szép és tiszta a hely. Csak ajánlani tudom mindenkinek!”
Norbert2022-06-22
„Végre nem félek a fogorvostól!! 😀 Tényleg fájdalommentes kezelések, profizmus, kedvesség. Bármikor szívesen megyek vissza. Mindenkinek ajánlom, azoknak is, akik rettegnek a fogorvostól.”
Anita2021-11-22
Partnerek és Egészségpénztárak


















